
Office Hours
Monday
10:00 am - 5:00 pm
Tuesday
10:00 am - 7:00 pm
Wednesday
9:00 am - 5:00 pm
Thursday
10:00 am - 7:00 pm
Friday
9:00 am - 5:00 pm
Saturday
9:00 am - 3:00 pm
Sunday
Closed


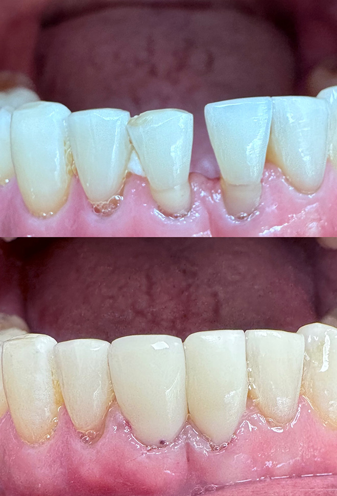
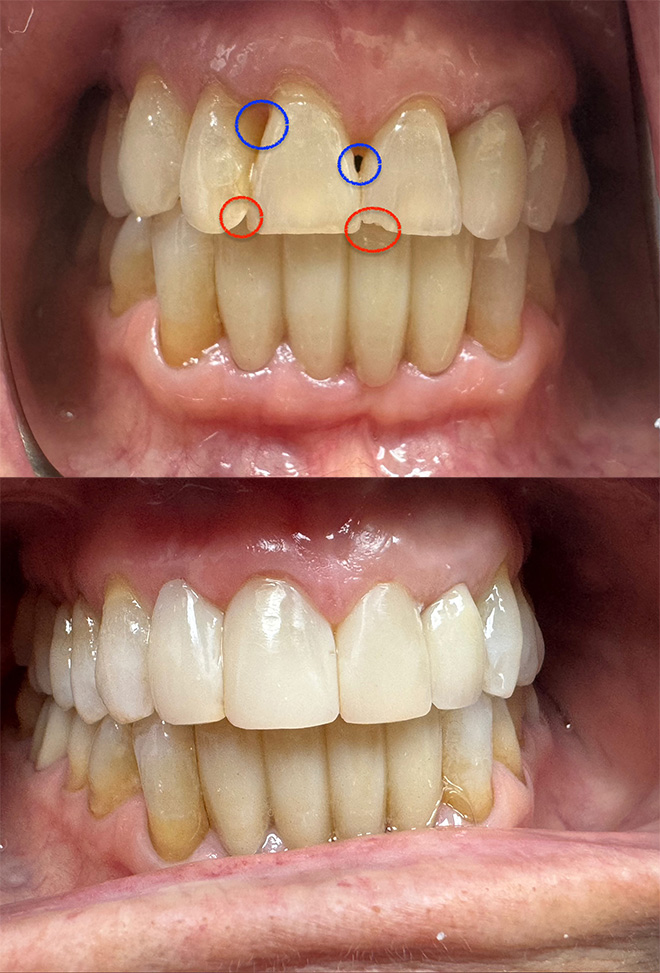
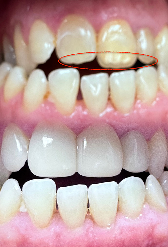
Bioclear is a warm-resin injection-molding technique that is used to restore any damaged or fractured tooth, close gaps in teeth, shaping of teeth. The traditional technique to repair a broken tooth is to remove the (even though, healthy) tooth structure and build a crown over it. In contrast, the BioClear technique preserves the existing tooth structure and builds the broken/fractured parts using resin composite material. In particular, the BioClear method incorporates the most advanced composite restorative materials, instrumentation, and clinical processes to achieve attractive, healthy, and long-lasting results.





*Blue circles = “dark triangles”
Red circles = chipped/cracked teeth

