Office Hours
Monday
10:00 am - 5:00 pm
Tuesday
10:00 am - 7:00 pm
Wednesday
9:00 am - 5:00 pm
Thursday
10:00 am - 7:00 pm
Friday
9:00 am - 5:00 pm
Saturday
9:00 am - 3:00 pm
Sunday
Closed

One of the significant advances in modern dentistry has been the development of dental laser technology. Today, dental lasers are being increasingly used to treat tooth decay, periodontal disease, perform biopsies or the removal of oral lesions, to cure restorative (filling) materials, as well as to activate in-office teeth whitening systems.
Dental lasers combine laser energy with water and air to safely cut and shape target soft or hard tissues in the mouth. Laser energy precisely cuts through tooth structure by exciting the water molecules in the tooth. It operates without direct contact to the tooth without heat, vibration, or pressure thereby minimizing the discomfort of the procedure and the need for dental anesthesia. In addition dental lasers can reduce anxiety for patients fearful of dental work, minimize post-operative bleeding and swelling, and preserve healthy tooth structure during the removal of decay.
While dental lasers may be an excellent treatment option in some situations, they cannot be used for every dental procedure.
Carious Dentine Removal

Orthodontic bracket removal

Cavity Preparation

Cavity Preparation

Ceramic veneer bridge removal

Ceramic veneer removal

Closed Curettage

Crown Lengthening

Enamel Erosion Treatment

Periodontics

Fibroma Removal

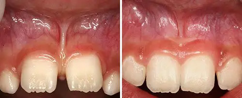
Frenectomy Treatment

Periodontics

Leukoplakia Treatment

Hemangioma Treatment

Hemangioma and Fibroma Treatment
Peri-implant Mucositis
Laser-Assisted Ceramic Debonding
Periodontics
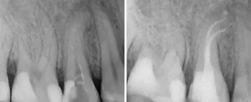
Endodontic Treatment
Endodontic Treatment
Hemangioma Treatment
Endodontic Treatment